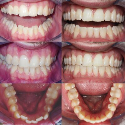
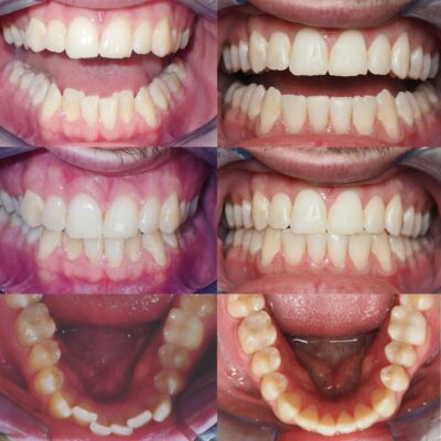
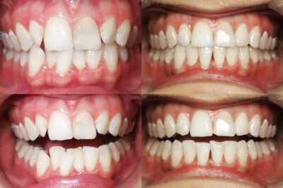
Smile Makeovers

Our Dental Blog

facebook

I started going to Yuba City Dentistry almost three months ago, i have had a amazing and wonderful experience with this group, the staff is exceptional, and Dr. Chema listened to you. He cares about you, he wants you to come back if you have problems. Not just sit at home and suffer. My time with him is almost over and i will miss him greatly. So if you need a great Dentist go to him. he cares....thank you Judy/ Julia frymyer.