A Real Life Story at the Yuba City Dentistry Group
The Yuba City Dentistry Group provides a wide variety of treatments to improve the oral health, smile, and lives of our patients. Though some cases are subtle or take time, others are more immediate. A perfect example is our recent use of same-day crowns for emergency dental treatment.
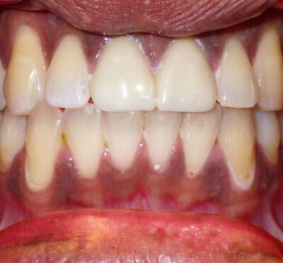
A patient came in due to a traumatic accident. Not only were his front teeth broken, exposing the dentin and pulp, but even the nerves were exposed. Clearly, he was in a great amount of pain and needed immediate treatment. But what treatments would benefit the patient most?
The work started with a root canal to get the pain under control, followed by crowns. While fitting the crowns, the dentist considered the patient’s facial symmetry to make sure the tooth restoration matched his natural smile. Both the root canal treatment and the crowns were applied the same day. The whole procedure took one hour, and the visual results are stunning!
Within hours after the procedure, the patient was out of pain and walked out of the office with a restored smile, very impressed with the results. At his follow-up appointment, the patient reported no pain or complications, successfully going on with his daily routine.
This case is certainly not an isolated one. In fact, many dental procedures like this are completed in a single visit. However, the Yuba City Dental Group always schedules a follow-up appointment to ensure everything is proceeding as expected.
If you experience an accident or other traumatic event to your teeth, one that compromises the integrity of your smile or your comfort, there’s no need to suffer the effects. Please contact the Yuba City Dental Group by calling us or scheduling an appointment using our online form. For dental emergencies, visit our emergency sites based on the area most convenient for you in Yuba City, Placerville, or Roseville. We are happy to restore your teeth to working order and keep you smiling.



0 Comments